Zygoma implantati
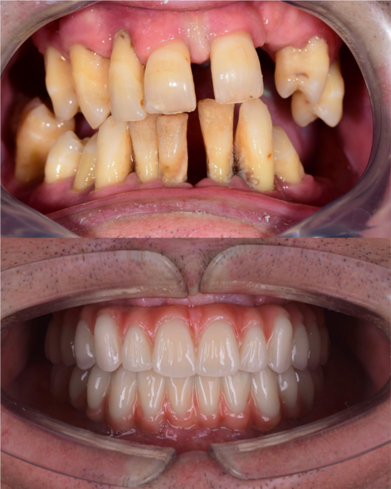
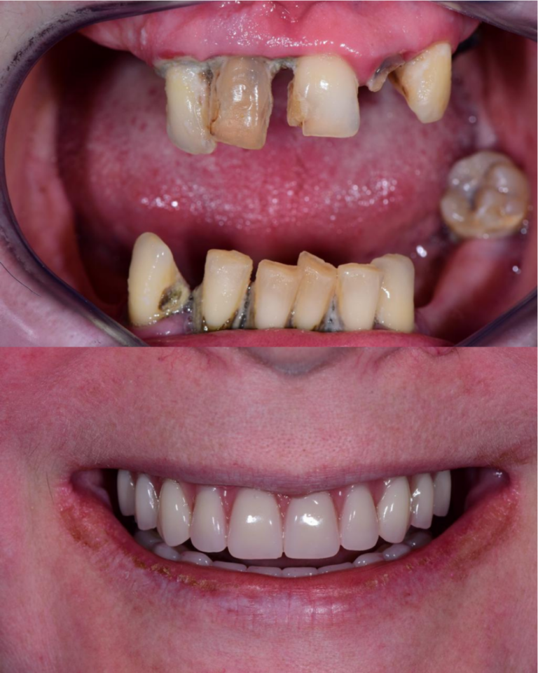
Možda su vam rekli da nemate dovoljno kosti za zubne implantate. Međutim, to ne znači da ne postoji rješenje za vraćanje zubne funkcije i poboljšanje kvalitete života. Možete otići kući s fiksnim mostom i zubima za jedan dan.
zygoma implantate
Što su zygoma implantati? (zigomatični implantati)
Zigomatski implantati duži su od konvencionalnih zubnih implantata i učvršćuju se u jagodičnu kost (jabučnu kost), kada nema odgovarajuće kvalitete ili količine maksilarne (gornje čeljusti) kosti.
specijalist oralne kirurgije,
ravnatelj Poliklinike i dnevne bolnice imed
Prema svakom pojedincu postupamo onako kako bismo željeli da se prema nama postupa. Ponosimo se time što pružamo najviši standard skrbi. Trudimo se biti nježni i suosjećajani za sve vaše stomatološke potrebe.
Kada koristimo Zygoma implantate?
- Kod pacijenata koji su izgubili gornje zube zbog starenja ili traume i zbog toga imaju nedovoljnu visinu kosti.
- Kod pacijenata koji imaju jako slomljene zube ili jako pokretne zube zbog bolesti kao što je parodontoza.
- Kod pacijenata kojima nedostaje dio gornje čeljusti zbog operacije raka ili traume.
Zygoma implantati se postavljaju u općoj ili lokalnoj anesteziji.
Vaš kirurg će o tome razgovarati s vama prije operacije.
Implantati se postavljaju kroz gornju čeljust, s vrhom
implantata usidrenim u zigomatičnu (jagodičnu) kost.
Normalno, ostali implantati će se ugraditi u prednji dio gornje čeljusti u isto vrijeme (vaš kirurg će opisati implantate i njihovo postavljanje u planu liječenja)
Koje komplikacije se mogu pojaviti?
Povremeno se može pojaviti infekcija – to će se liječiti odgovarajućim antibiotikom. Ostale komplikacije su iznimno rijetke.
Koliko je procedura ugradnje zygoma implantata bolna?
Tijekom postupka bit ćete jako opušteni ili uspavani jer će vaš doktor koristiti lokalnu ili opću anesteziju.
Dok vi spavate, mi radimo!
Nakon zahvata veliki dio vašeg lica osjećat će se utrnulo, ali to će nestati.
Može doći do blagog otoka oko donjeg kapka. Većina pacijenata osjeća samo blagu bol u ovoj fazi, a općenito se može kontrolirati analgeticima (lijekovi protiv bolova).
Kakvi će mi biti finalni zubi?
Zigomatski implantati sada se koriste diljem svijeta i pacijenti koji su liječeni ovom tehnikom općenito su vrlo zadovoljni kozmetičkim i funkcionalnim rezultatima.
U većini slučajeva otići ćete kući s postavljenim mostovima i krunicama.
U nekim slučajevima implantati će
se ostaviti četiri do pet mjeseci da se integriraju prije nego što se krunice i mostovi postave tijekom drugog postupka.
Većina pacijenata može dobiti fiksni most (ne mora se uklanjati). Ostalima će biti dostavljena proteza koja se može skidati i koja se učvršćuje na implantate.
O vašim opcijama ćemo razgovarati s vama i navesti ih u vašem planu liječenja.
Prednosti zigomatičnih implantata
Sa zygoma implantatima možda ćete moći otići kući s novim zubima na mjestu na dan zahvata.
Često možete dobiti zigomatične implantate i nove zube unatoč ozbiljnom gubitku kosti koji bi onemogućio normalne implantate.
Zubne proteze koje se montiraju na implantate daleko su stabilnije od konvencionalnih proteza koje se pomiču tijekom razgovora ili jela.
Ovi implantati obično traju cijeli život, ako se o njima pravilno brine
Dogovorite svoj pregled
Briga o vašim implantatima:
Lijekovi
Antibiotici i analgetici za ublažavanje boli bit će propisani, obično otprilike tjedan dana nakon zahvata.
Dijeta
Vaš kirurg će vam preporučiti blagu dijetu dok vam posljednji zubi ne budu na mjestu. Izbjegavajte trganje hrane ili tvrde hrane (npr. sirovo povrće, voće i orašasti plodovi).
Oralna higijena
Medicinska ispiranja bit će propisana prvih nekoliko tjedana nakon operacije. Nemojte ispuhivati nos dok vam kirurg ne objasni sve.
Za svakog pacijenta s implantatima oralna higijena postaje još važnija.
Detaljno ćemo vam objasniti kako njegovati svoje implantate i krunice.
Molimo vas da se redovito posjećujete svog stomatologa kako biste osigurali optimalnu njegu.
Naše napredne usluge za rješavanje bezubosti
Full Arch concept
Što kažu naši pacijenti
Objavljeno na Maja JerakTrustindex provjerava je li izvorni izvor recenzije Google. Vrhunska i profesionalna usluga cijelog stručnog tima Poliklinike. Posebna pohvala i zahvala dr. Krmpotiću na trudu, znanju, stručnosti i radu kao i dr. Vučkoviću, sestri Hani i gospođi Renati. Za svaku pohvalu i preporuku!Objavljeno na Ruzica KnezevicTrustindex provjerava je li izvorni izvor recenzije Google. Profesionalni,stručni,suradljivi... DrElizabeta top. Sve preporuke..Objavljeno na Senka BikicTrustindex provjerava je li izvorni izvor recenzije Google. Osoblje stručno, susretljivo i jako ljubazno. Vrhunski stručnjaci ! Sve preporukeObjavljeno na vesna ZagrebTrustindex provjerava je li izvorni izvor recenzije Google. Koristila sam usluge Poliklinike IMED, svaka pohvala na stručnosti i profesionalnom pristupu dr. Vladimira Borića. Zaslužuje veliku preporuku. Zahvala vrlo ljubaznom osoblju tima.Objavljeno na Robert PaulusTrustindex provjerava je li izvorni izvor recenzije Google. Sve najboljeObjavljeno na Ivana BanjeglavTrustindex provjerava je li izvorni izvor recenzije Google. Toliko strpljivosti, ljubaznosti, stručnosti, a prije svega razumjevanja za situaciju zbog koje sam se obratila u polikliniku. Riječi je malo za opisati iznimnu susretljivost i PRISTUP dr. Marte Stipičević i med.sestre Marije. Bilo me je strah zbog nelagode koju sam imala sa zubom, a doktorica Marta pristupila je s puno pažnje i znanja, sve mi je objasnila i odagnao se strah. Od srca vam objema puno hvala. Želim vam svako dobro, puno radosti i uspjeha u radu. Lijepi pozdrav, Ivana HofmanObjavljeno na Morena RuzicTrustindex provjerava je li izvorni izvor recenzije Google. Profesionalnost, ljubaznost,i kvaliteta usluge 10+. Posebno bih pohvalila Dr. Borica, od prvog kontakta ulijeva povjerenje i sigurnost, tako da sam se osjećala u sigurnim rukama što je utjecalo na moje emotivno stanje i opustenost bez panike. Zadovoljna sam uslugom i preporucujem svima. Hvala Vam.Objavljeno na Zlata SimicTrustindex provjerava je li izvorni izvor recenzije Google. Profesionalnost , personalizirani pristup, ljubaznost osobljaUčitaj više
Javite nam se
- Specijalistički pregled
- Ortopan ili CBCT
- Neobvezujuća ponuda










